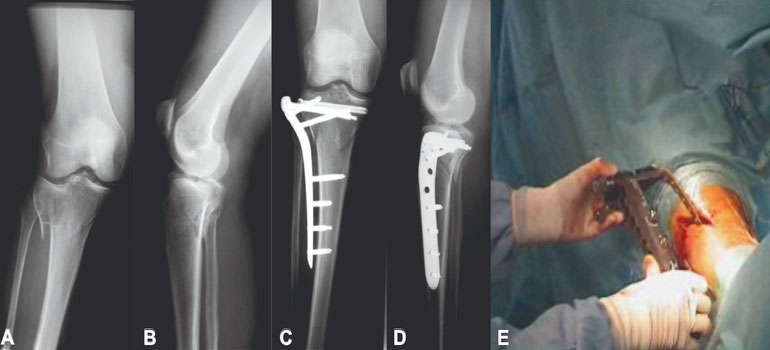
Minimally invasive surgery is performed through tiny incisions instead of one large opening and is often referred to as keyhole surgery. This decreases the trauma to the surrounding soft tissues while achieving the same surgical outcome.
In terms of orthopaedic surgery, this means the difference between exposing the entire joint through a large, open incision and using small, targeted incisions to address only the problem area.
Because the incisions are small, patients have quicker recovery times, less risk and less discomfort than with conventional surgery.
Minimally invasive orthopaedic surgery includes joint replacements and arthroscopies (hip, knee, ankle, wrist, shoulder and elbow and knee osteotomy (realignment).
